Estētiskā – mākslinieciskā zobu atjaunošana – kad medicīna satiekas ar mākslu
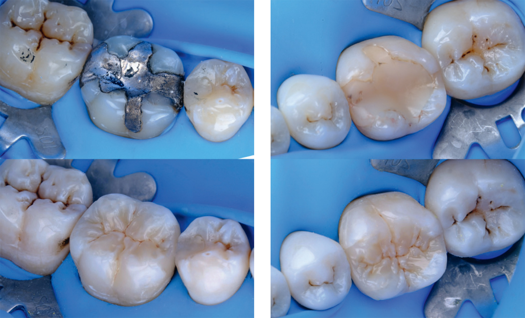
Kāpēc estētiskā plombēšana vairs nav tikai “cauruma aizpildīšana”? Zobu labošanu nereti uztveram vienkāršoti – ir caurums, un to aizlīmē. Taču patiesībā šis process ir daudz dziļāks un būtiski sarežģītāks. Zobs nav nejaušs balts klucītis, bet orgāns ar savu bioloģiju, funkciju un estētiku. Katrs paugurs, katrs valnītis un katra rieviņa ir struktūra ar noteiktu funkciju. Šīs anatomiskās detaļas nodrošina pareizu košļāšanas spēku sadalījumu, aizsargā žokļa locītavu, palīdz uzturēt harmonisku kontaktu ar pārējiem zobiem un, protams, veido sejas kopējo harmoniju. Brīdī, kad šī anatomija tiek zaudēta, tās atjaunošana nozīmē atjaunot ne tikai formu, bet arī funkciju.
Rakstu sagatavoja:
Dr. Dāvis Zaķis (Sertificēts zobārsts, Zobārstniecības klīnika "A WHITE")
Dr. Gita Zommerfelde-Antipina (Sertificēta zobārste, sertificēta zobu protēziste, diplomēta implantoloģe, Zobārstniecības klīnika "A WHITE")
Ikviens, kurš pēc zobārsta vizītes ir ilgi pieradis pie jaunās zoba formas, saprot, cik ļoti pat neliela anatomiska atkāpe var ietekmēt komfortu. Mūsdienu materiālu zinātne un izpratne par zobu biomehāniku ļauj zaudēto struktūru atjaunot ļoti precīzi, taču šai precizitātei nepieciešams laiks. Ja uztveram zobu kā orgānu, tad ātrums vairs nav galvenais. Tieši tāpat kā acu ķirurģijā – svarīgākais nav operācijas ilgums, bet gan tas, cik labi acis kalpos nākamajos gados un kādu dzīves kvalitāti nodrošinās.
Estētiskā plombēšana mūsdienās ir estētikas, bioloģijas un funkcijas vienotība. Tā ir rekonstrukcija, kas ievēro dabas likumus un cilvēka individuālo anatomiju. Tas ir process, kurā tehnika un māksla saplūst vienā veselumā.
Estētiskā plombēšana mūsdienās ir estētikas, bioloģijas un funkcijas vienotība. Tā ir rekonstrukcija, kas ievēro dabas likumus un cilvēka individuālo anatomiju.
Kā cilvēks uztver skaistu zobu, pat nespējot to definēt
Skaists zobs – gan sānu, gan priekšzobs zemapziņā raisa noteiktas asociācijas. Cilvēkiem ir pārsteidzoši līdzīgs priekšstats par to, kas ir acij tīkams. Tas nav nejaušs process, bet gan smadzeņu spēja analizēt formu, gaismu un proporcijas, pat ja to neapzināmies.

Lieliska analoģija ir antīkās marmora skulptūras. Varam nezināt anatomijas likumus, pēc kuriem tās veidotas, bet joprojām spējam atšķirt skulptūru, kas mūs uzrunā, no tās, kas šķiet neveikla. Zemapziņa ir uzkrājusi milzīgu vizuālo pieredzi – sejas, smaidi, kustības, gaismas spēle uz virsmām. No šīs pieredzes veidojas priekšstats par to, kas ir skaists, harmonisks vai dabīgs.
Tieši tāpēc labs estētikas speciālists atšķiras ar spēju nosaukt vārdos to, ko citi tikai jūt. Viņš spēj analizēt nianses – gaismas atstarošanos, kontūru plūdumu, proporciju līdzsvaru. Tas nav talants, kas rodas vienā dienā. Tas ir gadiem ilgs treniņš, studijas, praktiski darbi un nepārtraukta vizuālās uztveres slīpēšana. Mākslinieciskā zobu atjaunošana ir skulpturāls process, kurā katra forma, katrs leņķis un katrs slānis veidots ar mērķi radīt harmoniju, kas saplūst ar cilvēka seju.
Gaisma un krāsa – zoba dabiskuma noslēpums
Lai gan forma ir pirmais, ko pamanām, krāsa un gaismas spēle ir tas, kas piešķir zobam dzīvību. Zobs nav vienkārši balts objekts. Tas ir optiski sarežģīts veidojums, kurā gaisma lūzt, izkliedējas, atstarojas un pat fluorescē. Šīs īpašības nosaka, kā zobs izskatās dažādos apgaismojumos – saulē, ēnā, mākslīgā gaismā, fotogrāfijās.
Emalja ir gandrīz tīrs kalcija kristāls – caurspīdīgs vai puscaurspīdīgs atkarībā no ģenētikas un vecuma. Zem tās atrodas dentīns – siltāks, mazāk caurspīdīgs, ar pavisam citu struktūru. Šo slāņu mijiedarbība rada dabisko zoba krāsu. Tieši tāpēc restaurācija, kas veidota no viena materiāla, nekad neizskatīsies dabiska. Lai gūtu patiesu dabiskumu, restaurāciju veido slāņos – dažreiz piecos, dažreiz desmit, dažreiz pat vairākos desmitos mikroskopisku kārtiņu, no kurām katra imitē kādu dabiskā zoba optisko īpašību.
Optiskie efekti dabiskajā zobā: translucence, opalescence un fluorescence estētiskajā restaurācijā
Estētiskā zobārstniecība balstās uz spēju atdarināt dabisko zobu ne tikai formā un krāsā, bet arī gaismas mijiedarbībā ar zoba audiem. Tieši optiskās īpašības nosaka, vai restaurācija izskatīsies dabiska, harmoniska un “dzīva”. Trīs būtiskākie efekti, kas raksturo dabisku zobu, ir translucence, opalescence un fluorescence. To izpratne ir priekšnoteikums augstas kvalitātes estētiskam rezultātam.
Pareiza translucences atdarināšana ir būtiska, jo tā piešķir restaurācijai dziļumu un telpiskumu. Ja materiāls ir pārāk caurspīdīgs, zobs var izskatīties tumšs vai pelēcīgs.
Translucence – zoba caurspīdīguma pakāpe
Translucence raksturo emaljas spēju daļēji laist cauri gaismu. Dabiskā emalja nav vienmērīgi caurspīdīga – tās optiskais blīvums mainās atkarībā no anatomiskās zonas. Zoba šķautnē emalja ir plānāka un caurspīdīgāka, kas piešķir zobam vieglu zilganu vai pelēcīgu efektu. Savukārt zoba kakliņa zonā emalja kļūst optiski blīvāka, tāpēc šī daļa izskatās siltāka un necaurspīdīgāka.
Pareiza translucences atdarināšana ir būtiska, jo tā piešķir restaurācijai dziļumu un telpiskumu. Ja materiāls ir pārāk caurspīdīgs, zobs var izskatīties tumšs vai pelēcīgs. Ja caurspīdīguma ir par maz, restaurācija kļūst vizuāli plakana un mākslīga. Tāpēc izmanto materiālus ar dažādu caurspīdības pakāpi, kas tiek slāņoti tieši tajās vietās, kur dabiskajā zobā emalja ir plānāka vai biezāka.
Opalescence – zilgani - oranžā gaismas spēle
Opalescence ir optisks fenomens, kas piešķir emaljai tās raksturīgo gaismas spēli. Raugoties pret gaismu, emalja iegūst zilganu nokrāsu, bet, kad gaisma iziet tai cauri, tā kļūst siltāka un oranžāka. Šis efekts ir līdzīgs opāla akmenim, no kā cēlies arī nosaukums. Šī optiskā efekta pamatā ir Reileja izkliede, kas ir fizikāls fenomens, šis pats likums nosaka debesīm zilo krāsu.
Dabiskajos zobos opalescence ir visizteiktākā zoba šķautnes zonā, kur emalja ir plānāka un gaisma tajā izkliedējas citādi nekā dziļākajos slāņos. Tieši šī zilgani-oranžā gaismas spēle piešķir zobam dzīvīgumu un dabisku estētiku. Restaurācijās opalescenci atdarina ar īpašām emaljas masām, kas spēj radīt šo raksturīgo efektu.
Fluorescence – zoba dzīvīgums UV apgaismojumā
Fluorescence raksturo zoba spēju UV starojumā izstarot zilganu gaismu. Dabiskie zobi satur fluoroforus, kas reaģē uz UV starojumu, padarot zobu vizuāli gaišāku un dzīvīgāku. Šī īpašība ir būtiska, lai zobs izskatītos dabisks dažādos apgaismojumos – saulē, fotostudijā, klubos vai pie UV lampām.
Ja restaurācijas materiāls nav fluorescējošs, tas UV apgaismojumā var izskatīties tumšāks vai pelēcīgs, radot nevēlamu kontrastu ar dabiskajiem zobiem. Tāpēc augstas kvalitātes kompozītus un keramikas materiālus ražo ar integrētu fluorescenci, kas nodrošina harmonisku izskatu jebkurā apgaismojumā.
Optisko efektu atdarināšana restaurācijās
Lai gūtu dabisku rezultātu, restaurācijas veido, izmantojot precīzu slāņošanas tehniku. Katrs slānis imitē konkrētu zoba struktūru – dentīnu, emalju un zoba šķautni. Slāņu biezums bieži vien ir mazāks par milimetru, taču tie būtiski ietekmē gala iznākumu. Dentīna slānis nodrošina krāsu un fluorescenci, emaljas slāņi piešķir translucenci un opalescenci, bet zoba šķautnes zonā izmanto īpaši caurspīdīgus materiālus, kas atdarina dabisko zilgano efektu.
Pareiza šo optisko īpašību kombinācija ļauj restaurācijai saplūst ar dabisko zobu, saglabājot tā gaismas spēli, dziļumu un estētisko harmoniju.
Translucence, opalescence un fluorescence nav tikai sarežģīti termini – tie ir dabiskuma pamati. Izprotot šos optiskos efektus un prasmīgi tos atdarinot, iespējams radīt restaurācijas, kas vizuāli neatšķiras no dabiskajiem zobiem. Tieši šī precizitāte, materiālu izvēle un slāņošanas tehnika nosaka, vai pacienta smaids izskatīsies patiesi dabisks un harmonisks jebkuros apgaismojuma apstākļos.
Kur sākas māksla un beidzas tehnika
Zobu restaurācija ir unikāla joma, kurā tehnika un māksla ir nešķiramas. Tehnika nodrošina izturību, precīzu kontaktpunktu, pareizu košļāšanas anatomiju un bioloģisku drošību. Māksla - harmoniju, dabiskumu un vizuālo saskaņu ar seju.
Labs speciālists spēj pamatot katru savu izvēli – kāpēc forma ir tieši tāda, kāpēc izmantots konkrētais materiāls, kāpēc izvēlēts tieši šāds krāsas slāņojums. Tas nav nejaušs process. Tas ir rūpīgi izsvērts, balstīts zinātnē un estētikas likumos. Atšķirībā no mākslinieka, kurš var radīt jebko, zobārstu ierobežo bioloģija, funkcionalitāte un pacienta individuālā anatomija.
Mākslinieciskā zobu atjaunošana ir tuvāka gleznas restaurācijai, nevis gleznošanai no nulles. Mērķis nav radīt kaut ko jaunu, bet gan atjaunot to, kas bijis, un darīt to tik nemanāmi, ka restaurācija saplūst ar dabisko smaidu. Laba māksla liek aizdomāties, bet smaids nemanāmi iekļaudamies cilvēka sejā, kļūstot par tās dabisku daļu.
Kā pacients uztver un izjūt māksliniecisko restaurāciju
No pacienta perspektīvas mākslinieciskā restaurācija ir ļoti līdzīga mākslas darba izvēlei. Vispirms jāatbild uz jautājumu – vai tas, ko redzu, ir tas, ko vēlos? Lai rezultāts būtu ideāls, svarīgi, lai pacienta un ārsta estētiskā vīzija sakristu. Pretējā gadījumā var rasties absurda situācija – lūgt Salvadoram Dalī uzgleznot Van Goga stila gleznu.
Pirmais solis vienmēr ir saruna un fotogrāfijas, lai saprastu pacienta vēlmes un analizētu smaidu. Tad izveido plānu un dažkārt veido digitālu vai fizisku “mock-up” – tas ir kā izmēģinājuma smaids, kas ļauj pacientam iepriekš redzēt, kā varētu izskatīties gala rezultāts.
Kad viss saskaņots, sākas pati restaurācija. Tas ir rūpīgs un radošs process, kurā zobs tiek veidots pa slānim, ļoti precīzi atjaunojot formu, kontūras un virsmas. Katru slāni pieliek tā, lai gaisma uz zoba atstarotos tieši tāpat kā uz dabīgā zoba, nodrošinot dabisku un harmonisku izskatu.
Vienas priekšzoba restaurācijas izveidei var būt nepieciešams viens materiāls, ja mērķis ir vienkāršs, vai vienpadsmit materiāli, ja mērķis ir perfekts dabiskums. Tas ir kā gleznot ar eļļām, kuru biezums ir mazāks par milimetru. Tas ir roku darbs, mikroskopisks darbs, mākslas darbs.
Cik ilgmūžīga ir estētiskā restaurācija
Nekas zobārstniecībā nav mūžīgs, taču kvalitatīvi izveidota estētiskā restaurācija var kalpot desmit līdz piecpadsmit gadus, dažkārt ilgāk. Tas atkarīgs no diviem faktoriem – ārsta tehniskā izpildījuma un pacienta ikdienas paradumiem (Hofsteenge et al., 2023).
Materiāls ar laiku dilst – tas ir normāli. Taču tas ir arī ieguvums: dilst materiāls, nevis zobs. Kad nepieciešams, restaurāciju var atjaunot, saglabājot dabīgo struktūru. Regulāras kontroles, profesionāla apkope un pareiza higiēna ir būtiski elementi, kas pagarina restaurācijas mūžu.
Mīti, izvēles un patiesā vērtība
Joprojām pastāv daudz mītu par kompozītmateriāliem – ka tie ir īslaicīgi, ka tie izskatās mākslīgi, ka keramika vienmēr ir labāka. Patiesībā kompozīts ir elastīgs, bioloģiski saudzīgs un ļauj saglabāt vairāk dabīgā zoba. Tas nav konkurents keramikai – tas ir instruments. Un labs speciālists izvēlas instrumentu, kas konkrētajam zobam un konkrētajam cilvēkam ir vispiemērotākais.

Estētiskā plombēšana ir labākā izvēle, ja bojājums ir vidējs vai mazs, ja nepieciešama precīza forma, ja pacients vēlas saudzīgu pieeju. Keramika ir labāka, ja bojājums ir ļoti liels vai zobs ir strukturāli vājš. Nav universālas formulas – ir individuāls cilvēks un individuāls zobs.
Ko pacients iegūst – ne tikai vizuāli, bet arī emocionāli
Estētiskā restaurācija nav tikai vizuāls uzlabojums. Tā ir emocionāla pieredze. Cilvēks, kurš atgūst skaistu, harmonisku smaidu, bieži vien atgūst arī daļu no sevis – pārliecību, mieru, prieku, vēlmi smaidīt un runāt. Smaids nav tikai zobi. Tas ir stāsts par to, kā jūtamies pasaulē un kā pasaule reaģē uz mums.
Mākslinieciskā zobu atjaunošana ir brīdis, kurā medicīna satiekas ar mākslu. Tā ir iespēja atjaunot ne tikai zobu, bet arī harmoniju, pašapziņu un dzīves kvalitāti. Un tieši tāpēc šis process ir tik īpašs – tas nav tikai darbs ar materiāliem, bet darbs ar cilvēka stāstu, emocijām un skaistuma izjūtu. Tas ir darbs, kurā nepieciešama gan zinātne, gan sirds.
Atsauce:
1. Hofsteenge, J. W., Scholtanus, J. D., Özcan, M., Nolte, I. M., Cune, M. S., & Gresnigt, M. M. M. (2023). Clinical longevity of extensive direct resin composite restorations after amalgam replacement with a mean follow-up of 15 years. Journal of Dentistry, 130(October 2022), 104409. https://doi.org/10.1016/j.jdent.2023.104409
Piesakies konsultācijai
Posted on mar 16, 2026.